Les éclaircissements dentaires

Le blanchiment dentaire permet d’éliminer les taches causées par l’action du tabac, par les pigments contenus dans les aliments ou boisson ou autres.

Les dents sont constituées par une couche intermédiaire qui sépare la pulpe de la superficie de l’émail et qui se nomme dentine. La dentine est responsable de la couleur de la dent car l’émail est de nature transparente. Lorsqu’il se produit une coloration dentaire, la substance colorante pénètre dans l’émail à cause des milliers de pores microscopiques qu’il contient. La substance colorante traverse ainsi l’émail pour atteindre la dentine et provoquer la décoloration.

Lors d’un blanchiment dentaire, le produit blanchissant traverse donc l’émail afin de pourvoir éclaircir la dentine responsable de la coloration dentaire. Les produits utilisés pour un blanchiment dentaire contiennent du peroxyde d’hydrogène, substance active qui permet l’éclaircissement. Il est important de rappeler que le peroxyde d’hydrogène est un composé fortement réglementé c’est pourquoi l’acte doit s’effectuer sous le contrôle du chirurgien-dentiste.

Résultats :

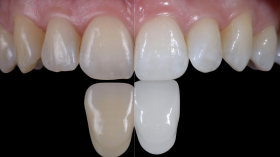
Noter que la couleur de la gencive est de la même intensité sur la photo avant et après.  (cliquez sur l'image pour l'agrandir)

 

Résultat avant après

 

Résultat avant après

le blanchiment dentaire ambulatoire :

A la première consultation, le chirurgien-dentiste effectue un détartrage minutieux (afin de retirer plaque dentaire et colorations superficielles) et évalue la nécessité du blanchiment dentaire ainsi que la teinte objective si la nécessité est avérée. A la suite de cette visite, un devis sur le blanchiment vous sera donné.

 

Au 2ème rendez vous, quand le devis est accepté. Le dentiste prend l’empreinte des deux arcades afin de pouvoir configurer de manière personnalisée les gouttières (supérieure et inférieure) qui contiendra le gel blanchissant. Une gouttière est un dispositif qui a la forme d’une arcade dentaire, de couleur transparente reproduisant les contours des dents et qui sert de véhicule au produit éclaircissant.

 

Entre les 2ème et la 3ème séances , nous allons couler en platre vos empreintes, les retoucher. puis nous fabriquons les logettes d'espacements, qui servent à modéliser les réservoirs de produit de blanchiment. Dans un second temps, une plaque extra fine est appliquée à l'aide d'une thermoformeuse, puis cette plaque est découpée pour déborder sur la gencive d'environ 2 - 3 mm.

 

Préparation des logettes pour réservoirs

 

 

Préparation des gouttières sur les modèles

 

Lors de la 3ème visite, l'adaptation des gouttières est contrôlée dans la bouche du patient. Si tout est bon, les gouttières sont remises au patient ainsi qu’un kit de blanchiment contenant la seringue avec le gel blanchissant et les instructions d’usages. Les gouttières se remplissent de gel blanchissant et se portent un minimum de 3 heures par jour ( toute la nuit jusqu’au matin suivant est fortement recommandé ). Il est important de rappeler que le traitement requiert un brossage minutieux avant et après l’utilisation des gouttières.

 

Contrôle de la gouttière en bouche

Version imprimable | Plan du site
© Docteur Fernandez Philippe