Les INLAY /ONLAY

Quand la perte de tissus dentaire est trop importante (carie, fracture) les résines que nous avons au cabinet atteignent leur limite. En effet, leur résistance mécanique devient insuffisante et sur de gros volumes, elles ont tendance à trop se contracter quand elles durcissent.  La résistance mécanique des inlays et des onlays est bien meilleure que celle des obturations réalisées par les techniques classiques. Par ailleurs, les inlays et les onlays permettent d’obtenir un joint de meilleure qualité qu’avec une obturation classique. On augmente ainsi la fiabilité du point de contact avec les dents adjacentes, ce qui permet de réduire le risque de reprise de carie et les problèmes d’inflammation gingivale. Dans le cas de caries de volume important, la réalisation d’un inlay ou d’un onlay permet souvent d’éviter de réaliser une couronne dentaire qui entraînerait un délabrement plus important de votre dent.

L’inlay/onlay peut être fait en résine ou en céramique. Les deux types de matériaux redonneront sa force à votre dent. La céramique aura cependant l’avantage de mieux vieillir (la résine a tendance à jaunir un peu).

Réalisation :

Vue clinique initiale

 

 

Retrait des anciens soins et préparation des dents

 

 

Prise d'empreinte

 

Le rendez-vous suivant, reception des pièces prothétiques

 

 

Dépose des provisoires,  nettoyage des dents préparées

Essayage de l'adaptation de Inlay et onlay sur les dents préparées

 

 

Les pièces prothétiques sont collées , les excédents de colle sont retirés  et les dents sont repolies

 

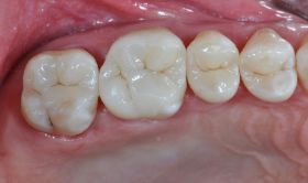
Résultat 1mois après la pose

 

 

Version imprimable | Plan du site
© Docteur Fernandez Philippe